
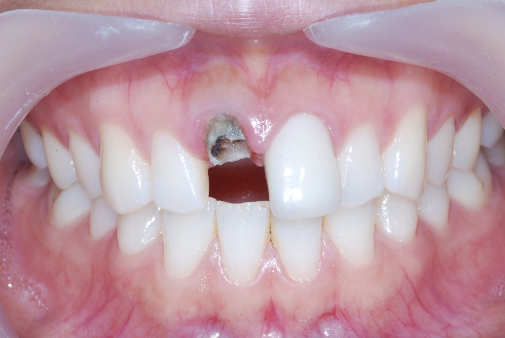
처음 방문시의 모습( Shows what it was at the time of first visit )

심한 충치가 있는 치아를 발치 하였습니다. ( Removal of problem tooth )

발치와 동시에 임플란트를 시술하였습니다. ( Implant placement at the time of removal )

임플란트 한 부위에 뼈를 이식하였습니다. ( Allogenic bone graft at the time of implant placement)

수술부위를 잘 봉합 하였습니다. ( Suture for closing the wound )

상처가 잘 아물었습니다. ( Shows well healed implant site )

임플란트가 뼈와 유착이 일어나 잘 아물 때 까지, 앞니의 미관상 문제를 해결하기위한
임시틀니. ( Stay Plate for esthetics while waiting healing )

임시틀니를 낀 모습 ( stay plate for esthetics )

임플란트 수술후 5개월 후의 모습 ( 5 Month post operative )

임플란트 크라운을 위한 지대주 와 크라운 , ( Custom abutment and crown )

지대주를 장착한 후의 모습 ( custom abutment for final crown )

최종적으로 임플란트 크라운을 장착한 후의 모습 ( Final implant crown delivery )
만 5개월의 치료기간이 소요되었습니다. ( Total treatment period was 5 months )