발치와 동시에 시술된 임플란트 (Implant surgery at the time of tooth removal )

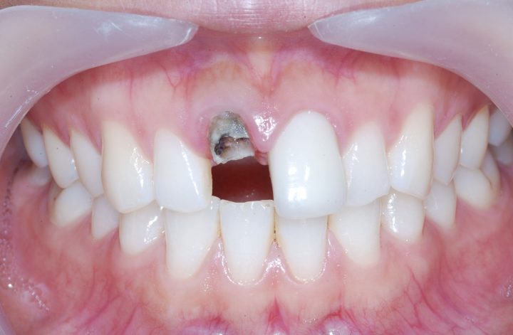
처음 방문시의 모습( Shows what it was at the time of first visit ) 심한 충치가 있는 치아를 발치 하였습니다. ( Removal of problem tooth ) 발치와 동시에 임플란트를 시술하였습니다. ( Implant placement at the time of removal ) 임플란트 한 부위에 뼈를 이식하였습니다. ( Allogenic bone graft at the time of Read More…